Compassionate, Modern Dental Care for All Ages—Trusted by the Columbus Community
Certain medications can influence dental treatment decisions and it’s important to let your dentist know…
Good oral health involves more than having a beautiful smile; it is key if we…
Maintaining great personal hygiene has never been more important, given the current pandemic situation that…
You’ve probably heard someone tell you about getting wisdom teeth removed irrespective of whether you…
Getting braces is not anymore a symbol of awkwardness captured forever in high school yearbooks.…
It is known that an optimal level of fluoride in water is safe and effective…
What is a Stroke? To understand the association between stroke and oral health, one should…
It’s something that you’ve heard over and over but why are regular dental visits so…
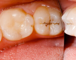
What is Tooth Decay? Tooth decay is damage to a tooth’s enamel. This can happen…
Find us here
We are delighted to welcome you to our practice and are pleased that you chose us to serve your dental needs.
Name
Phone
Email
Location
—Please choose an option—WestervilleGrandview
Message