
Posted on March 16, 2020
What is Tooth Decay?
Tooth decay is damage to a tooth’s enamel. This can happen when harmful bacteria in your mouth create acids that attack the tooth’s surface. These bacteria soften the tooth’s enamel and dentin, causing a small holes in the tooth called a cavity. This can cause infection or tooth loss if left untreated.
Early tooth decay has little to no symptoms, but as it progresses, it can cause toothache and sensitivity to sweets, temperature of the food and liquid intake. If the tooth becomes infected an abscess, which is a pocket of puss, can form. This abscess causes discomfort, fever, and facial swelling.
Causes of Tooth Decay
The combination of bacteria and the food and drinks you consume causes tooth decay. A clear sticky substance called plaque is always forming on your teeth. Plaque contains bacteria that feed on the sugars in the food you eat and the beverages you drink.
The bacteria forms an acid that attacks the tooth’s enamel making it lose its minerals. Sipping on a fizzy drink, for example, can repeatedly expose your teeth to acid which causes the enamel to continue mineral loss.
Sugary foods and drinks are best consumed with other meals so that healthy foods can clean your teeth of the acids. Foods that stick to teeth, such as toffee can increase your risk for developing tooth decay.
Risk Factors in Tooth Decay
Anyone with teeth is at risk of tooth decay. Some factors you can control, while others you cannot.
Things you can control include practicing good oral hygiene, using fluoride toothpaste, limiting sugary foods and alcohol and avoiding tobacco products.
Factors you can’t control are respiratory conditions that dry out your mouth like asthma, using medicines that contain sugar, and ofcourse age.
Infants and toddlers are at risk of baby bottle tooth decay which occurs when the child is put to bed with a bottle of milk, juice or formula. The sugar in these drinks feeds the bacteria that cause tooth decay.
Young children’s teeth are still growing, and the minerals in new teeth are not stable making it easier for acids to eat away at the enamel.
Older adults may have receding gums that allow decay-causing bacteria to cause root cavities.
Diagnosis & Prevention of Tooth Decay
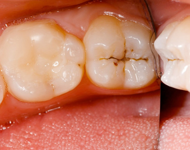
Earlier detection of tooth decay may appear as a white spot on the tooth. More advanced tooth decay can emerge as a dark spot or a hole in the tooth.
X-rays are used to detect decay, but your dentist may also check if a sensitive tooth is soft or sticky for tooth decay.
Brushing your teeth twice a day, flossing and using mouthwash once a day improves oral health. Regular dental check-ups are vital to keeping your teeth healthy. Hygienists remove all the plaque from your teeth which inhibits tooth decay. They can also spot signs of decay so it can be treated before it can worsen.
Dental sealants are a thin coating that is painted onto the premolars and molars of children. The painless procedure is the best way to protect kid’s teeth from cavities, and they are easier to clean.
Raw vegetables can scrape plaque off teeth. Calcium in dairy products strengthens teeth and can help fight off harmful bacteria. Sugarless chewing gum can remove food particles and induce saliva production to help wash away food debris.
Tooth Decay Treatment
A small amount of erosion on your enamel may be treated using an approach that helps repair that spot. This treatment can include a medicated mouthwash or toothpaste that contains high levels of fluoride and calcium.
A smaller cavity is repaired using a filling, while a large cavity may require an Inlay or Onlay or even a crown to protect its structure and restore its functionality.
To save the tooth with an abscess, a root canal treatment needs to be done. Once the infection is removed, the chamber is sealed, and the tooth is typically restored with a crown.
If the tooth cannot be saved, you will need an extraction. Your dentist will only use this as a last resort and can help you choose a suitable tooth replacement option.
Prevent tooth decay by practicing good oral hygiene and visiting your dentist twice a year for professional teeth cleaning and a dental exam.
Louisa, Susan. “How to assess your risk of tooth decay.” Denthusiast,
http://www.denthusiast.com/2019/03/08/how-to-assess-your-risk-of-tooth-decay/
Find us here
We are delighted to welcome you to our practice and are pleased that you chose us to serve your dental needs.
Find us here
We are delighted to welcome you to our practice and are pleased that you chose us to serve your dental needs.